-
-
2017.12.23表现为孤立性眩晕的脑卒中,如何避免误诊?
孤立性眩晕在中枢性疾病中并不少见哦!
-
-
2017.12.05「打嗝」停不下?一文帮你搞定顽固性呃逆
那么临床上遇到顽固性呃逆的患者我们应该如何处理呢?
-
-
2017.11.012017 艾地苯醌典型病例征集活动通知
自2017 年 06 月起,齐鲁制药有限公司携手丁香园面向全国开展典型病例有奖征集活动,期待您的支持与参与。
-
-
2017.09.20快速上手共识:阿司匹林在心血管疾病的临床应用
本文为阿司匹林在动脉粥样硬化性心血管疾病中的临床应用: 中国专家共识 (2016)快速上手版。
-
-
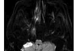
2017.08.20比腔隙性脑梗死还小的脑微梗死,如何检测
脑微梗死≠腔隙性脑梗死≠脑小血管病变
-
-
2017.08.04遇上偏头痛,这 7 大类药物来帮忙!
偏头痛如何用药?
-
-
2017.08.022017 年「卒中时间」成都站顺利举行
2017 年「神经病学时间-卒中时间」暨四川省第九届缺血性脑血管病介入沙龙在蓉成功举办
-
-
2017.07.29一文读懂失语症的分类及治疗策略
失语是神经科常见症状,但是关于失语的许多概念非神经内科医师不容易区分。
-
-
2017.07.27神经内科专家教授查房集录
集大家之力量,博众家之长,希望能对各位神经科战友的临床科研能力有一定提高作用。
-
-
2017.07.04从「FAST」到「120」:中国版卒中快速识别短视频发布
2017 年 6 月 24 日,中美学者及学术机构共同发布了由中国卒中学会中风120特别行动组制作的一部 2 分钟短视频《中风 1-2-0:飞越中风陷阱,抢救争分夺秒》。
- os
- os
